Cabinet d'orthodontie du Dr Laurence CHOBLET
Orthodontiste à Nouméa
Orthodontiste à Nouméa
Cabinet d'orthodontie du Dr Laurence CHOBLET

141 Route de l'Anse Vata
98800 NOUMEA - Nouvelle-Calédonie

Blog - Page 2

Traitement orthodontique : les règles du succès

Traitement orthodontique : les règles du succès

Nettoyage des brackets avec brossette interdentaire

Nettoyage des brackets avec brossette interdentaire

Expansion palatine - activation du disjoncteur

Expansion palatine - activation du disjoncteur

Damon system

Damon system

-

La pose de vernis fluoré pour les enfants et les jeunes adultes de 3 à 24 ans

La pose de vernis fluoré pour les enfants et les jeunes adultes de 3 à 24 ans

Le fluor, par voie générale ou en application locale, joue un rôle essentiel dans la protection des dents de l’enfant.

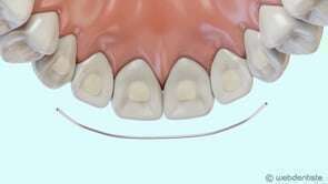
Fil de contention

Fil de contention

Affichage des articles 7-12 sur 88

Création par Webdentiste

Connexion